This article is copyright 1994 by Antonio J. García and originally was published in the International Trombone Association Journal, Vol. 22, No. 3, Summer 1994. It is used by permission of the author and, as needed, the publication. Some text variations may occur between the print version and that below. All international rights remain reserved; it is not for further reproduction without written consent.

Errors occurred in the original publication that were not the responsibility of the authors. These errors were acknowledged in the following issue of the ITA Journal, from whom corrected reprints are available upon request. (Reprints are also available from the author.) The document below has been fully corrected.

 

So Why Do I Need My Nose to Breathe Through My Mouth?

by Antonio J. García
with Dr. José L. García Oller, M.D.

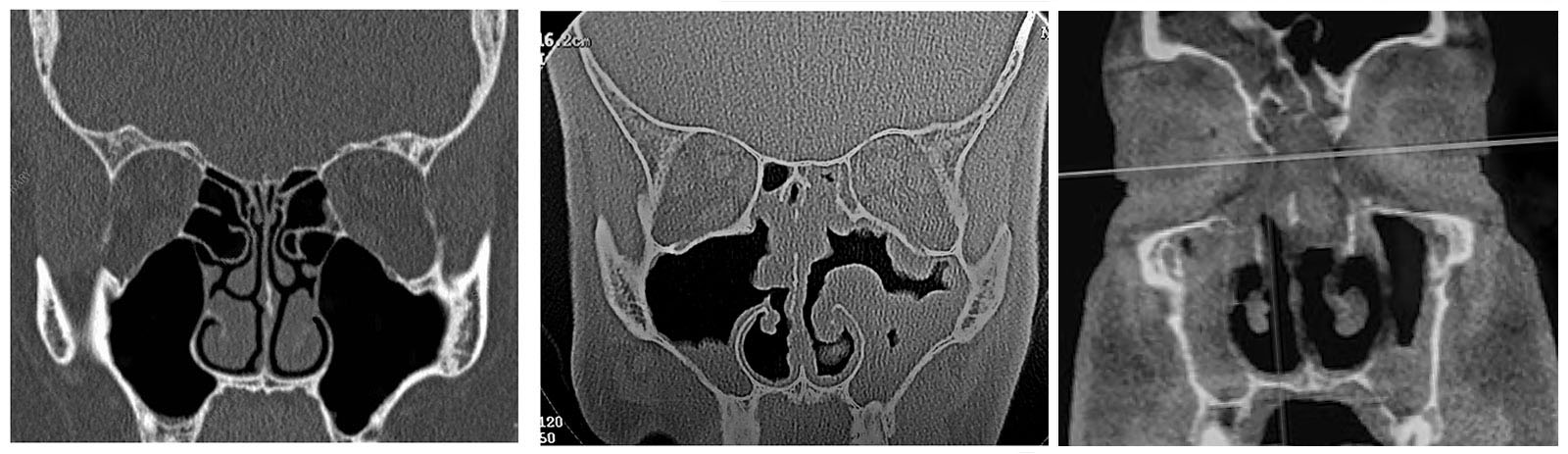
On the left, a CT scan of normal sinuses as if the patient is facing you.
In the middle, a 2003 CT scan of the author’s sinuses, showing his congestion even after operations in 1990 and 2000.
Much of the blockage there is not mucus but instead saggy sinus tissues no longer able to shrink due to constant allergic inflammation.
On the right, a June 2025 CT scan of the author's sinuses. This time his congestion was mostly polyps
(as he'd been focused since his 2010 operation on keeping his sinuses as clean as possible via saline use).

photo credit: courtesy Antonio García

Due to a history of asthma in childhood and lifelong allergies, I experienced the airflow difficulties discussed in this article and discovered that the prescribed remedies (allergy shots, medications and eventual surgery) successfully relieved the medical symptoms but failed to improve my performance as a trombonist. By relearning how to play—and by learning how to identify similar problems in aspiring performers—I have assisted the sound-production technique of other wind players.

In human physiology, a system of pathways and "valves" coordinates the respiratory and digestive needs of an individual. In this system, the primary function of the nose is to breathe. The soft palate (see Fig. I, valve 1) is relaxed in its hanging position, creating an open, vertical path from the nasal cavity down to the throat. The epiglottis (valve 2), which connects the throat to the trachea (windpipes), is open. And the throat’s entrance to the esophagus (valve 3) is in its passively closed position, preventing air from entering the stomach.
  illustration © 1994 Dr. José L. García Oller & Antonio J. García

 

Similarly, the mouth is designed primarily for the intake of food and drink (see Fig. II). When a person eats, the soft palate rises to block off the nasal cavity from the throat, preventing the upward escape of any food. The tongue slides up and backward; and the trachea moves upward, causing the glottis to cover the trachea as the pressure forces the food or drink down the throat and esophagus.
  illustration © 1994 Dr. José L. García Oller & Antonio J. García

 

However, when a woodwind or brass player fills the lungs utilizing the mouth as the most rapid route for air, that individual is defying the primary action of the mouth (no longer eating) and nose (usually considered only as an option for a hurried "sniffbreath" or extended "circular breathing"). If the nose is not being used, why then do students with nasal difficulties – or a past history of such problems – often exhibit poor breathing habits in performance? Can a teacher, by observing the role of the nose, possibly improve the tone and phrasing of a seemingly "normal" student who does not yet move enough "wind" to produce satisfying results? Indeed, as many students, professionals and physicians have asked me, "Why would you need your nose to play a wind instrument?"


NORMAL PERFORMANCE BREATHING

When a musician utilizes the mouth as the primary entrance and exit for air, the soft palate rises (nearly as much as it did during the eating process) to prevent the majority of air from entering the nasal cavity (see Fig. III). The glottis is open to the trachea and lungs; the esophagus is relaxed in a closed position, sealing off the stomach from the rushing air.

But the sheer volume and velocity of that "wind" is more than the passive esophageal sphincter can resist alone. For the esophagus to stay closed, excess air sped within the oral cavity must escape through the "relief valve" of the nose via the partially relaxed soft palate (Fig. III). What happens if that "relief valve" is not there?

  illustration © 1994 Dr. José L. García Oller & Antonio J. García


UNDERUSING THE NOSE

Severe nasal congestion, whether in the sinuses, the nose itself or elsewhere along the nasal cavity, maximizes the back pressure during performance-related inhalation. This forces some of the air down the esophagus and into the stomach (Fig. IV).

There it is wasted, reducing lung capacity and possibly creating discomfort for the individual as the gas forces the stomach and intestinal tract to expand (a condition known as "aerophagia"). The increased ratio of air in the stomach may actually reduce the player’s lung capacity twice: once by the simple rerouting, and further by inflating cumulatively the stomach’s pressure against the diaphragm above (which must push down to make way for the filling of the lungs). In addition, as the performer then exhales against the resistance offered by the instrument, the back pressure caused by the nasal congestion can actually cause air to go not only to the stomach but, to a degree, back into the lungs – the very height of inefficiency (Fig. IV). Thus the nose is vital to efficient mouth-breathing in performance.

  illustration © 1994 Dr. José L. García Oller & Antonio J. García

Given such a scenario, a congested performer who might have otherwise dismissed the need for a common cold remedy might be well advised to reconsider. However, persons with long-term nasal afflictions can subconsciously accept such a feeling of back pressure as the "normal" way to perceive respiration during performance and, even once any medical problems existing may be cured, can subconsciously create an unnatural and even more powerful resistance by tightening the throat area and/or raising the tongue to duplicate the familiar sensation for which there may no longer be an unavoidable physical cause. (I have largely eliminated one such reflex manifestation, known as the Valsalva Maneuver, from the playing of a number of my private students and my own playing as well. I am indebted to Arnold ]acobs, former tubist with the Chicago Symphony Orchestra, for his assistance in this regard. For further information on the Vasalva Maneuver in wind players I recommend Richard Erb’s chapter in Arnold Jacobs’ Legacy of a Master published by The Instrumentalist and reprinted in the April 1987 edition of that periodical.)

An instructor might find nasal underuse such as this difficult to identify. Certainly an oft-congested student with unsatisfactory airflow or lung capacity would be suspect. And though I cannot seriously recommend that a teacher inquire widely of students as to the comfort of their stomachs while performing for extended periods, mild stomach discomfort is a symptom associated with this chain of events and may warrant inquiry in certain cases.

 

OVERUSING THE NOSE

My college trombone professor once requested I repeatedly exhale into and inhale fully from an empty plastic bag large enough to contain my full lung capacity at the time. (Most bags used for packaging loaves of bread suit this purpose; adding a one-inch diameter plastic "breathing tube" from a hardware store plumbing bin can be a useful addition.) For my fellow students, this exercise created a relatively closed system in which the air traveled from lungs to bag to lungs in exact repetition. They were startled to observe, however, that my bag grew in size with each cycle until it would have burst had I not ceased.

How could this occur in a closed system? My mentor discovered that the air’s route was far from closed: I was taking in a relatively small amount of air through my nose – along with the greater intake via my mouth – in nearly every breath. And I was not in the least aware that I had ever done so! (My thanks to Richard Erb, bass trombonist with the Louisiana Philharmonic and professor of trombone at Loyola University of the South in New Orleans, for his instruction in this and other matters of wind production.)

To accomplish this inefficient method of air intake, I had subconsciously approximated the way I was naturally breathing about a third of each day: while asleep, I tended to snore because of chronic nasal difficulties. In the process of snoring even softly, the air intake either rapidly alternates between the nose and mouth or adopts a half-and-half status. This can be caused in wind performance by a raised tongue position very common in young players, a lowered soft palate, and/or simple nasal congestion. Such conditions create enough back pressure in the throat to create a half-open windpipe and a half-open esophagus; yet without the air bag test, the player may visually appear to be breathing normally (as the shift in internal positions is relatively gentle and the resulting split airsteams rather quiet).

I have observed this tiered breathing technique in a variety of instrumental students, often students with no notable respiratory distress who are nonetheless astounded by the bag’s growth in the closed-system exercise. (I have yet to learn conclusively whether these individuals might be more prone to snoring as well.) Simultaneous nose and mouth air intake yields several disadvantages. First, the speed of the air inhalation is reduced due to the resistance, just as it would be difficult to snore at maximum velocity. Second, the epiglottis must ideally be forced completely out of the way of the trachea in order to expel the air quickly from lungs to mouth in performance. This additional movement, though subconscious and rapid, can contribute momentary resistance to the airflow and thus encourage the "stuttering" of soft-dynamic notes which fail to "speak" clearly.

Third, some of the air intake is again wasted in the stomach, reducing lung capacity and possibly creating discomfort for the individual as the gas forces the stomach and intestinal tract to expand (though to a lesser degree than results from complete nasal blockage). Fourth and possibly most distressing of all, the chronically congested student can (as before) subconsciously accept such a feeling of resistance as the "normal" way to perceive respiration during performance and, once the medical problems are cured, can subconsciously create an unnatural resistance.

These consequences again demonstrate the essential role of the nose in mouth-breathing during performance. Fortunately, by using the plastic bag to monitor the closure of the respiratory system and the unrestricted airflow from lungs to mouth, an instructor can quickly observe whether a student is overusing the nose, impeding the natural air flow. The student can also insert the mouthpiece into the bag and buzz or blow, recreating the stimuli of performance demands. Students with the problem must learn to accept a new and different respiratory sensation as "normal" in the future. By requesting that the student concentrate on the visual sense of filling and draining the bag in a relaxed and equal manner (possible only with efficient airflow), the teacher can introduce that new feeling to the student, who should quickly follow that exercise with legato tone production on the instrument. An improved airflow generates a richer tone and smoother phrasing.

 

A PERFORMING CAREER: WHO "NOSE"?

The instructor’s understanding of the role of the nose in oral breathing for performance is crucial to spotting and solving some of the problems most damaging to smooth airflow and sound production in brass and woodwind players. Students with current or previous histories of congestion may not only possess physical challenges but may have also created new, artificial resistances that are now solvable by introducing visual stimuli such as the air bag. And though cold remedies will assist the occasional sufferer, players with chronic nasal problems should be made aware of the inherent challenges and medical causes so that they can decide whether the problem is severe enough to warrant more focused medical and/or musical attention. Should such a student wish to pursue a music performance career, a discussion of cause and effect might greatly assist that individual’s understanding of the options ahead.

For an article detailing Antonio García's medical and musical journey through his breathing issues, read "My Lessons with Arnold Jacobs, and Lessons Learned Since."

 

Antonio García's co-author, illustrator, and father is José García Oller, M.D., who passed away eight years after this article was published. His biography follows.

Photo credit: José L. García II

Dr. José Luís García Oller, an internationally known neurosurgeon, was born in Santurce, Puerto Rico. He received a Bachelor of Science degree at age 19 from the University of Puerto Rico; Medical Degree, Jefferson Medical College, Philadelphia, Pennsylvania; Master of Medical Science in neurosurgery, Tulane University School of Graduate Medicine; and Ph.D. (ABT) in physiology, Tulane University, and was a Fellow in neuropathology at Yale University. He was Chief of Neurosurgery at Charity Hospital in New Orleans, and served on the staffs of Hotel Dieu Hospital, Flint-Goodridge Hospital, Sara Mayo Hospital, St. Claude General Hospital, and Montelepre Hospital. He was senior medical staff member in neurosurgery at Memorial Medical Center's Mercy Campus. He was chief of staff at Mercy Hospital in 1968 and founder of their intensive care unit, and head of EEG, EMG, ultrasound and neuroradiology. He specialized in the most challenging neurological cases. He was honored in January 2002 for more than fifty years of continuous service on the medical staff at Memorial Medical Center.

From 1968 to 1988, he served as founder and CEO of the Council of Medical Staffs, later Private Doctors of America, the second largest medical association in the United States at the time. CMS was a nationwide organization dedicated to preserving the freedom of private medical practice. He testified frequently before Congress, championing patients' and physicians' freedom of choice in medical decision-making. He was also a strong nurses' advocate. He founded the CMS Educational, Scientific and Research Foundation, 1972 to 1988, and Private Doctors of Australia. He assisted in drafting and testifying on behalf of the Louisiana Malpractice Arbitration Law, enacted in 1975.

He was instructor of physiology at Tulane Medical School; long-term board member of the New Orleans Area Health Planning Council; author and international lecturer. He was certified in neurosurgery, neuroradiology, EMG, CT Scanning, and MRI. His patents in the neuroradiology field included the García Oller Axioencephalographic Chair; García Oller Head-Support and Cassette Holder; García Oller Myelography Support; Axial Radiography Chair; and Pivotal X-Ray Apparatus. He was the first in Louisiana to introduce stereotaxic cerebral neurosurgery, stereotaxic percutaneous cordotomy, and EEG. He served in active duty in the U.S. Navy during the Korean War, as Commander Medical Corps USNR, 1954-56, and was head of neurosurgery/neurology at the United States Naval Headquarters, U.S. Marine Corps Base, Camp LeJeune, North Carolina. He served as Second Lieutenant Commander, U.S. Army Medical Corps, 1938-45; and as Commander, USNR, New Orleans Medical Reserve Unit, from 1956-1962. He was member of the American Association of Neurological Surgeons, American Academy of Neurology, American Association of Electromyography and Electrodiagnosis, American Medical Association, American Research Engineering Society, American Society of Association Executives, American Society of Neuroimaging, Association of American Physicians and Surgeons, Congress of Neurological Surgeons, Hispanic American Medical Association of Louisiana, International Congress of Neurosurgery, International Association of Private Practicing Doctors (founding member), Louisiana State Medical Society, New Orleans Neurological Society (founding member), Orleans Parish Medical Society, Southern Electroencephalography Society, Southern Medical Association, Southern Neurosurgery Society, Sigma Xi Honor Scientific Society, and Alpha Omega Alpha Honor Medical Society. Awards included the Ochsner Medical Foundation Excellence in Medical Writing Award, 1950; Best Scientific Exhibit, Louisiana State Medical Society, 1961; George Washington Honor Medal, Freedom Foundation at Valley Forge, 1984; Special Leadership and Service Award, Louisiana State Medical Society, 1988; and Best Staff Educator, Target 100/Physician of Choice, 2001.

"As the attorney is the advocate of individual rights, and the priest of our spiritual identity, the private physician is the guardian of the patient's unique physical, spiritual and familial integrity during illness," Dr. García Oller once said. "Hence, privacy, dignity and individualized care are the hallmark of the private doctor. Avoid conflicts of interest. Thus, be free to exercise our full measure of skill and judgment. That is why I have chosen to dedicate my life to the freedom of private medical practice."

_ _ _ _ _ _ _ _ _ _ _ _ _ _ _

Antonio J. García is a Professor Emeritus and former Director of Jazz Studies at Virginia Commonwealth University, where he directed the Jazz Orchestra I; instructed Applied Jazz Trombone, Small Jazz Ensemble, Jazz Pedagogy, Music Industry, and various jazz courses; founded a B.A. Music Business Emphasis (for which he initially served as Coordinator); and directed the Greater Richmond High School Jazz Band. An alumnus of the Eastman School of Music and of Loyola University of the South, he has received commissions for jazz, symphonic, chamber, film, and solo works—instrumental and vocal—including grants from Meet The Composer, The Commission Project, The Thelonious Monk Institute, and regional arts councils. His music has aired internationally and has been performed by such artists as Sheila Jordan, Arturo Sandoval, Jim Pugh, Denis DiBlasio, James Moody, and Nick Brignola. Composition/arrangement honors include IAJE (jazz band), ASCAP (orchestral), and Billboard Magazine (pop songwriting). His works have been published by Kjos Music, Hal Leonard, Kendor Music, Doug Beach Music, ejazzlines, Walrus, UNC Jazz Press, Three-Two Music Publications, Potenza Music, and his own garciamusic.com, with five recorded on CDs by Rob Parton’s JazzTech Big Band (Sea Breeze and ROPA JAZZ). His scores for independent films have screened across the U.S. and in Italy, Macedonia, Uganda, Australia, Colombia, India, Germany, Brazil, Hong Kong, Mexico, Israel, Taiwan, and the United Kingdom. One of his recent commissions was performed at Carnegie Hall by the Orpheus Chamber Orchestra.

A Conn-Selmer trombone clinician, Mr. García serves as the jazz clinician for The Conn-Selmer Institute. He has freelanced as trombonist, bass trombonist, or pianist with over 70 nationally renowned artists, including Ella Fitzgerald, George Shearing, Mel Tormé, Doc Severinsen, Louie Bellson, Dave Brubeck, and Phil Collins—and has performed at the Montreux, Nice, North Sea, Pori (Finland), New Orleans, and Chicago Jazz Festivals. He has produced recordings or broadcasts of such artists as Wynton Marsalis, Jim Pugh, Dave Taylor, Susannah McCorkle, Sir Roland Hanna, and the JazzTech Big Band and is the bass trombonist on Phil Collins’ CD “A Hot Night in Paris” (Atlantic) and DVD “Phil Collins: Finally...The First Farewell Tour” (Warner Music). An avid scat-singer, he has performed vocally with jazz bands, jazz choirs, and computer-generated sounds. He is also a member of the National Academy of Recording Arts & Sciences (NARAS). A New Orleans native, he also performed there with such local artists as Pete Fountain, Ronnie Kole, Irma Thomas, and Al Hirt.

Most of all, Tony is dedicated to assisting musicians towards finding their joy. His 35-year full-time teaching career and countless residencies in schools have touched tens of thousands of students in Canada, Europe, South Africa, Australia, The Middle East, and across the U.S. His collaborations highlighting jazz and social justice have raised hundreds of thousands of dollars, providing education to students and financial support to African American, Latinx, LGBTQ+, and Veterans communities, children’s medical aid, and women in jazz. He serves as a Research Faculty Member at the University of KwaZulu-Natal. His partnerships with South Africa focusing on racism and healing resulted in his performing at the Nelson Mandela National Memorial Service in D.C. in 2013. He also fundraised $5.5 million in external gift pledges for the VCU Jazz Program.

Mr. García is the Past Associate Jazz Editor of the International Trombone Association Journal. He has served as a Network Expert (for Improvisation Materials), President’s Advisory Council member, and Editorial Advisory Board member for the Jazz Education Network . His newest book, Jazz Improvisation: Practical Approaches to Grading (Meredith Music), explores avenues for creating structures that correspond to course objectives. His book Cutting the Changes: Jazz Improvisation via Key Centers (Kjos Music) offers musicians of all ages the opportunity to improvise over standard tunes using just their major scales. He is Co-Editor and Contributing Author of Teaching Jazz: A Course of Study (published by NAfME), authored a chapter within Rehearsing The Jazz Band and The Jazzer’s Cookbook (published by Meredith Music), and contributed to Peter Erskine and Dave Black’s The Musician's Lifeline (Alfred). Within the International Association for Jazz Education he served as Editor of the Jazz Education Journal, President of IAJE-IL, International Co-Chair for Curriculum and for Vocal/Instrumental Integration, and Chicago Host Coordinator for the 1997 Conference. He served on the Illinois Coalition for Music Education coordinating committee, worked with the Illinois and Chicago Public Schools to develop standards for multi-cultural music education, and received a curricular grant from the Council for Basic Education. He has also served as Director of IMEA’s All-State Jazz Choir and Combo and of similar ensembles outside of Illinois. He is the only individual to have directed all three genres of Illinois All-State jazz ensembles—combo, vocal jazz choir, and big band (plus All-County and community concert bands and orchestras). He is the recipient of the Illinois Music Educators Association’s 2001 Distinguished Service Award.

Regarding Jazz Improvisation: Practical Approaches to Grading, Darius Brubeck says, "How one grades turns out to be a contentious philosophical problem with a surprisingly wide spectrum of responses. García has produced a lucidly written, probing, analytical, and ultimately practical resource for professional jazz educators, replete with valuable ideas, advice, and copious references." Jamey Aebersold offers, "This book should be mandatory reading for all graduating music ed students." Janis Stockhouse states, "Groundbreaking. The comprehensive amount of material García has gathered from leaders in jazz education is impressive in itself. Plus, the veteran educator then presents his own synthesis of the material into a method of teaching and evaluating jazz improvisation that is fresh, practical, and inspiring!" And Dr. Ron McCurdy suggests, "This method will aid in the quality of teaching and learning of jazz improvisation worldwide."

About Cutting the Changes, saxophonist David Liebman states, “This book is perfect for the beginning to intermediate improviser who may be daunted by the multitude of chord changes found in most standard material. Here is a path through the technical chord-change jungle.” Says vocalist Sunny Wilkinson, “The concept is simple, the explanation detailed, the rewards immediate. It’s very singer-friendly.” Adds jazz-education legend Jamey Aebersold, “Tony’s wealth of jazz knowledge allows you to understand and apply his concepts without having to know a lot of theory and harmony. Cutting the Changes allows music educators to present jazz improvisation to many students who would normally be scared of trying.”

Of his jazz curricular work, Standard of Excellence states: “Antonio García has developed a series of Scope and Sequence of Instruction charts to provide a structure that will ensure academic integrity in jazz education.” Wynton Marsalis emphasizes: “Eight key categories meet the challenge of teaching what is historically an oral and aural tradition. All are important ingredients in the recipe.” The Chicago Tribune has highlighted García’s “splendid solos...virtuosity and musicianship...ingenious scoring...shrewd arrangements...exotic orchestral colors, witty riffs, and gloriously uninhibited splashes of dissonance...translucent textures and elegant voicing” and cited him as “a nationally noted jazz artist/educator...one of the most prominent young music educators in the country.” Down Beat has recognized his “knowing solo work on trombone” and “first-class writing of special interest.” The Jazz Report has written about the “talented trombonist,” and Cadence noted his “hauntingly lovely” composing as well as CD production “recommended without any qualifications whatsoever.” Phil Collins has said simply, “He can be in my band whenever he wants.” García is also the subject of an extensive interview within Bonanza: Insights and Wisdom from Professional Jazz Trombonists (Advance Music), profiled along with such artists as Bill Watrous, Mike Davis, Bill Reichenbach, Wayne Andre, John Fedchock, Conrad Herwig, Steve Turre, Jim Pugh, and Ed Neumeister.

Tony is the Secretary of the Board of The Midwest Clinic and a past Advisory Board member of the Brubeck Institute. The partnership he created between VCU Jazz and the Centre for Jazz and Popular Music at the University of KwaZulu-Natal merited the 2013 VCU Community Engagement Award for Research. He has served as adjudicator for the International Trombone Association’s Frank Rosolino, Carl Fontana, and Rath Jazz Trombone Scholarship competitions and the Kai Winding Jazz Trombone Ensemble competition and has been asked to serve on Arts Midwest’s “Midwest Jazz Masters” panel and the Virginia Commission for the Arts “Artist Fellowship in Music Composition” panel. He was published within the inaugural edition of Jazz Education in Research and Practice and has been repeatedly published in Down Beat; JAZZed; Jazz Improv; Music, Inc.; The International Musician; The Instrumentalist; and the journals of NAfME, IAJE, ITA, American Orff-Schulwerk Association, Percussive Arts Society, Arts Midwest, Illinois Music Educators Association, and Illinois Association of School Boards. Previous to VCU, he served as Associate Professor and Coordinator of Combos at Northwestern University, where he taught jazz and integrated arts, was Jazz Coordinator for the National High School Music Institute, and for four years directed the Vocal Jazz Ensemble. Formerly the Coordinator of Jazz Studies at Northern Illinois University, he was selected by students and faculty there as the recipient of a 1992 “Excellence in Undergraduate Teaching” award and nominated as its candidate for 1992 CASE “U.S. Professor of the Year” (one of 434 nationwide). He is recipient of the VCU School of the Arts’ 2015 Faculty Award of Excellence for his teaching, research, and service, in 2021 was inducted into the Conn-Selmer Institute Hall of Fame, and is a 2023 recipient of The Midwest Clinic's Medal of Honor. Visit his web site at <www.garciamusic.com>.

| Top |

If you entered this page via a search engine and would like to visit more of this site, please click | Home |.

For further information on the International Trombone Association Journal, see Selected Links.